시온의빛교정치과

시온의빛교정치과

메뉴 닫기

성인교정

성인 교정은 단순히 심미적인 만족을 위해서뿐만 아니라,
기능적인 개선과 얼굴 윤곽의 변화를 가져올 수 있어 현대에서 많은 사람들이 찾고 있습니다.

치아 교정 대상

  • 01

    가지런한 치열로
    외모개선이 필요한 경우

  • 02

    보철치료,임플란트 치료를 받을
    구강 내 공간이 부족한 경우

  • 03

    치열 때문에 음식을 먹거나
    발음을 하는데 불편한 경우

  • 04

    치아 사이에 공간이 커서
    음식물이 잘 끼는 경우

  • 3M 클래러티 장치

    자가 결찰 시스템 브라켓으로 치아색과 비슷한
    세라믹을 사용하여 표면이 부드럽고 모서리가 둥글어
    이질감과 불편함이 적은 교정장치

    • 우수한 심미성
    • 편안한 착용
    • 교정 기간의 단축
    • 편리한 구강 관리
  • 클리피씨 장치

    자가 결찰 시스템으로 브라켓과 와이어 간
    직접적인 마찰력을 줄여 착용감이 편안하다는 장점이 있으며
    또한, 무광의 메탈 소재 도어를 사용하여 심미성을 높였습니다.

    • 통증 감소
    • 구강 내 상처 발생 빈도 감소
    • 1:1 맞춤 교정
    • 효과적 구강위생
  • 인비절라인 투명 교정 장치

    3D 스캐너와 CT로 치아와 골격을 진단해 맞춤형 장치를
    제작하는 교정법으로 어태치 레진을 사용해
    소아부터 성인까지 효과적인 치료가 가능합니다.

    • 적은 통증
    • 탈착식 교정방식
    • 구강청결 유지
    • 내원 횟수 감소
  • 미니튜브(MTA) 부분 교정 장치

    앞니와 같은 특정 부위만 교정이 필요할 때 부분으로 어금니의 이동 없이
    짧은 기간 미니튜브 교정장치로 간편하게 진행할 수 있습니다.

    • 실버교정
    • 빠른 교정 기간
    • 앞니교정
    • 부분교정

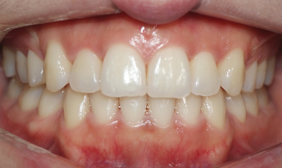
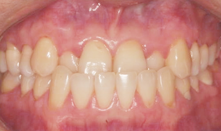
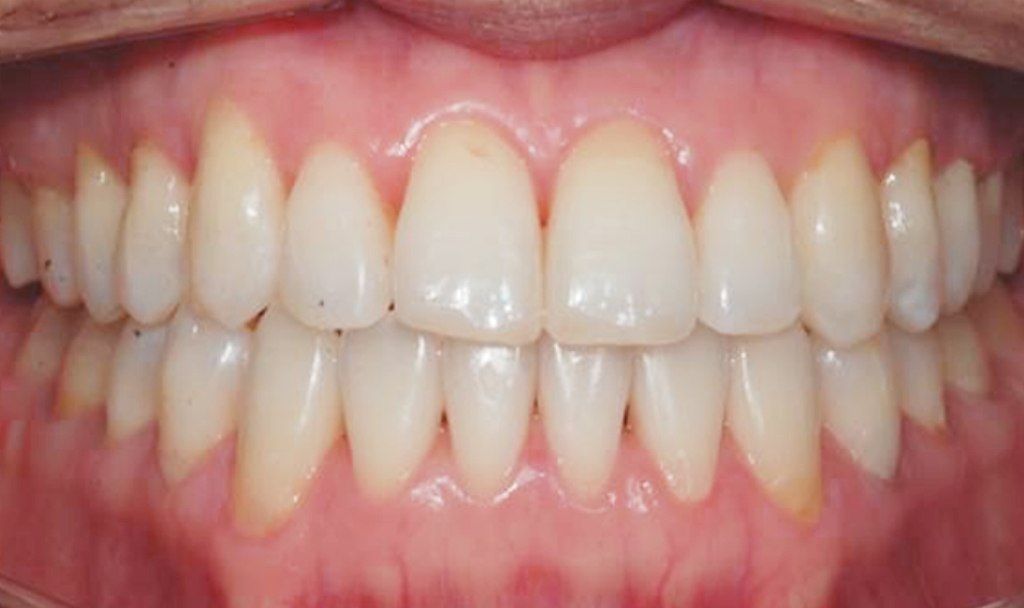
성인교정 치료

  • before

  • after