시온의빛교정치과

시온의빛교정치과

메뉴 닫기

인비절라인

맑고 투명한 교정장치로 어디서든 당당하게

  • 시온의 빛 교정치과
    인비절라인

  • 3D 디지털 스캐너와 3D CT를 활용하여 환자의 치아와 골격을
    정확히 진단한 후 개인별 맞춤형 치료 계획을 수립하고 장치를 제작합니다. 치아 이동을 위해 어태치라는 작은 레진을 부착하여 효과적인 교정을 돕습니다. 모든 장치가 미리 제작되어 장시간 타지역에 거주하는 유학생이나 해외 근무자들도 편리하게 치료를 받을 수 있습니다.

  • 시온의빛 교정치과의 특별함

    보건복지부 인증 치과교정과 전문의 25년 경력의 풍부한 임상경험

    만족도 높은 치아 교정을 위해서는 정확한 진단과 꼼꼼한 치료가 중요합니다.
    정확한 진단을 통해 만족할 수 있는 치료를 제공하는 것을 약속드립니다.

  • 다양한 디지털 장비 사용

    재발의 가능성을 낮추고 습관형성 교육과 정기적인 확인

  • 치료 후 개인별 맞춤형 사후관리

    정확성 높고 정밀하게 진단 가능한 디지털 의료장비

인비절라인 추천 대상

  • 어린이

    새로 맹출 된 영구치아를 위한 공간을 확보하고 치열궁 확장이 필요한 어린이

  • 청소년

    예쁜 미소를 원하거나 충치가 자주 생기는 학생

  • 성인

    사회생활에 있어 교정기가 부담스러운 직장인

  • 인비절라인이란?

    인비절라인은 3D 디지털 스캐너와 3D CT를 활용하여
    환자의 치아와 골격, 치근의 위치를 정확히 진단하고
    개인 맞춤형 치료 계획에 따라 장치를 제작하는 교정치료 방법입니다.

    • 투명한 재질
    • 편리한 탈부착
    • 적은 통증
    • 구강청결 유지
    • 내원 횟수 감소

인비절라인
치료 과정

  • 01

    검사 및 진료

    정확한 진단을 위한
    상담을 진행 후
    치아 이미지를 스캔합니다.

  • 02

    치료계획 수립

    첨단 소프트웨어를 통해 개개인
    맞춤형으로 정확한 치료 계획을 수립
    하여 진단 결과를 상담 진행합니다.

  • 03

    인비절라인 장치 제작

    CT 스캐닝을 하여 치아를 3D 이미지로 제작합니다.

  • 04

    장착 및 관리

    제작된 교정장치를
    기간에 맞춰 착용합니다.
    (보통 1~2주 간격으로 새로운 장치를 교체합니다.)

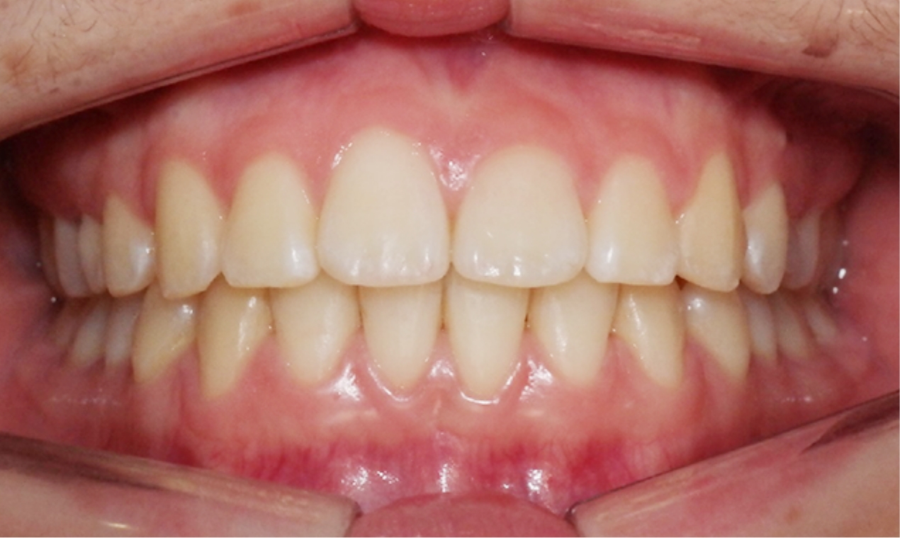
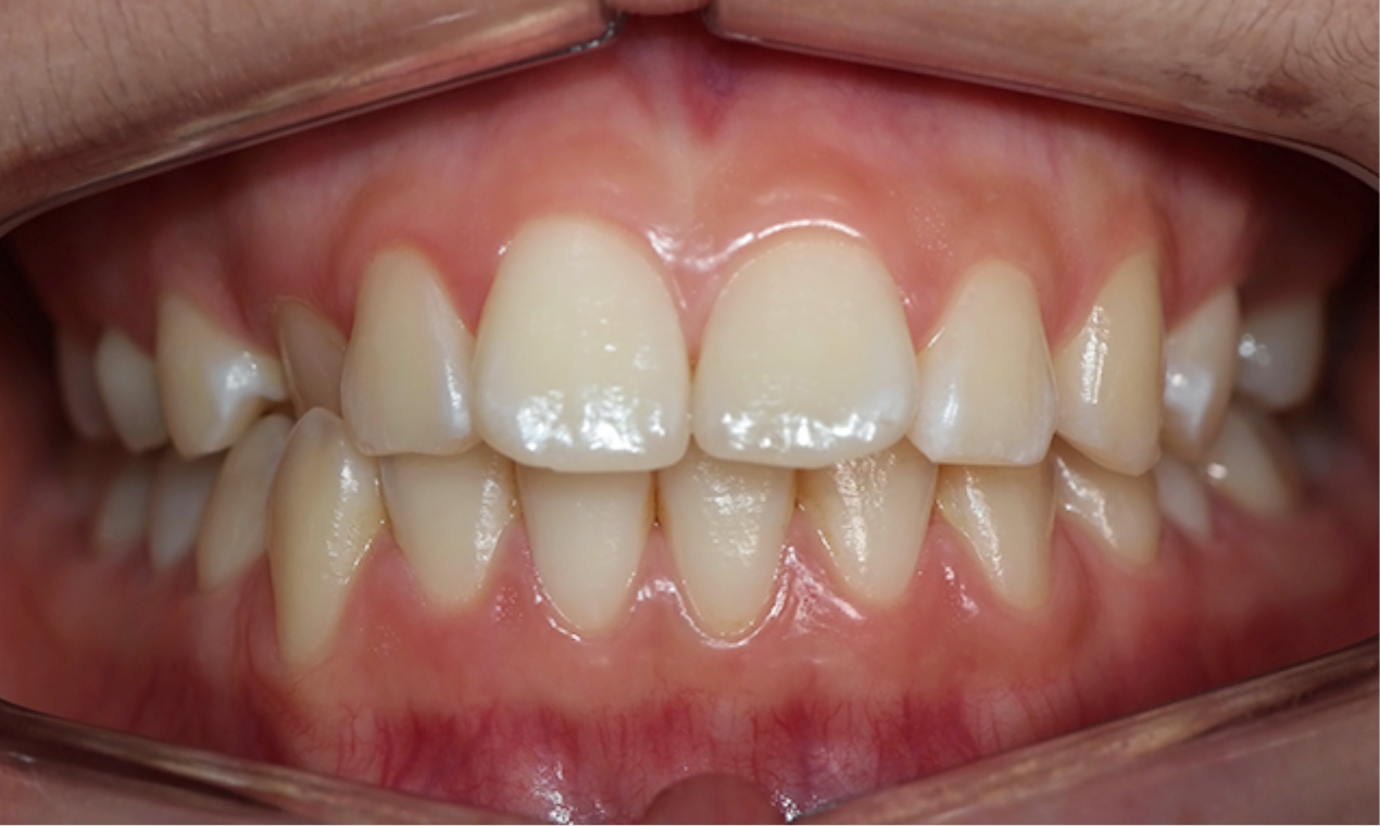
인비절라인 교정치료

  • before

  • after