시온의빛교정치과

시온의빛교정치과

메뉴 닫기

임플란트

시온의빛은 자연치아를 최대한 보존하고,
꼭 필요한 경우에만 발치를 진행할 것을 약속합니다.

임플란트 추천 대상

  • 01

    편하게 음식을
    먹지
    못할 때

  • 02

    부족한 치아로
    발음이 부정확할 때

  • 03

    틀니가
    불만족스러울 때

  • 04

    치아가 손상되었을 때

  • 05

    심미적으로
    개선하고 싶을 때

  • 사전모의진단

    CT와 디지털 가이드를 시뮬레이션하여 정확한 진단이 가능합니다.

  • 정확한 위치에 식립

    임플란트를 정확한 위치에 식립하기 위한
    풍부한 임상 경험과 노하우를 갖추고 있습니다.

  • 절개를 하지 않는 임플란트

    잇몸을 절개하고 덮는 기존의 방식과는 달리
    IBS 임플란트는 잇몸을 절개하지 않아 출혈과 붓기, 통증이 적습니다.

  • 치주질환 환자도 빠르게

    골내 무통 마취기를 이용한 PDRN 주사로
    잇몸 재생을 촉진해 치주염 환자의 임플란트 시술 시기를
    앞당길 수 있습니다.

  • 체계적인 사후관리

    임플란트의 수술의 성공보다 중요한 것은 체계적인 사후관리입니다.
    개인별 맞춤형사후관리를 시행하고있습니다.

시온의빛 IBS 임플란트 장점

  • 01

    나사풀림과 파절이
    적은 구조

  • 02

    응력 분산에 뛰어나
    오래 사용 가능한 구조

  • 03

    빠른 골재생으로
    최단기간 보철물 장착 가능

  • 04

    무절개 수술로
    빠른 일상생활 복귀 가능

IBS 디지털가이드 (IBS Digital Guide)

IBS임플란트의 AMII GPS System은 정밀하고 안정적인 식립을 돕는 첨단 시술 보조 시스템입니다.
다양한 임상에 적용 가능하며, 편의성과 위치 수정의 용이성으로 환자와 의료진 모두에게 최적의 결과를 제공합니다.

IBS 디지털가이드 장점

  • 정확한 식립 CT와 연동하여 사전 모의시술로 계획된 위치에 정확하게 식립
  • MagiCore 임플란트 연계 일체형 구조로 응력 분산, 조직 손상 최소화, 생물학적 폭경 유지
  • One-Day 디지털 보철 AMII GPS Digital Center를 통해 시술 당일 보철 제작 및 제공
  • 최소침습 수술 최소 드릴링·최소침습 원칙으로 통증, 부작용, 환자 부담 감소

국민건강보험공단에서 지원하는
만 65세 이상 임플란트 건강보험

임플란트 건강보험 혜택이
만 65세 이상 어르신으로 확대 되었습니다.

  • 대상 : 만 65세 이상 치아가
    하나라도 남아있는 경우 (무치악은 적용대상이 아닙니다.)

  • 1인당 평생 2개까지
    보험적용

  • 본인 부담금 30%로
    부분틀니와 중복 적용 가능 (본인부담금 상한제 제외)

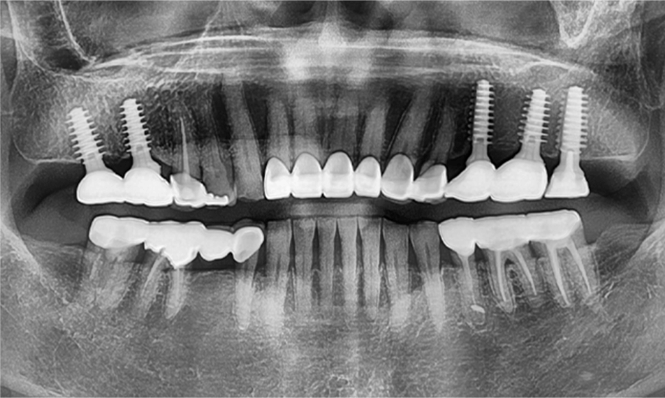
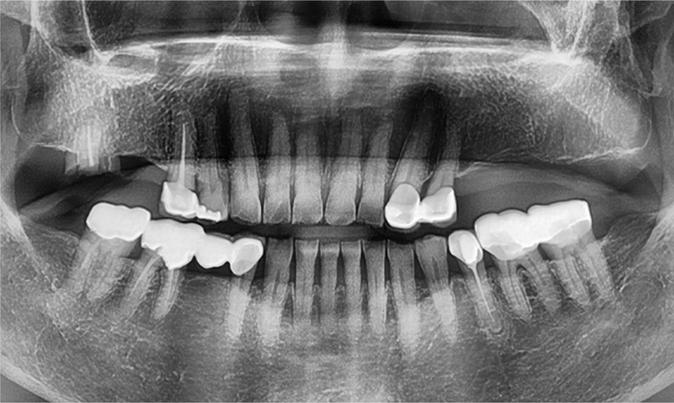
임플란트 치료

  • before

  • after